Skip to main content

De orthodontist

Wat is een orthodontist?

Een orthodontist is een hooggespecialiseerde tandarts die na zijn afstuderen in de tandheelkunde een intensieve vierjarige fulltime specialistenopleiding aan de universiteit heeft gevolgd. Deze opleiding richt zich specifiek op het vakgebied van Dento-Maxillaire Orthopaedie, beter bekend als orthodontie. Het doel van deze opleiding is om de orthodontist te trainen in het diagnosticeren, plannen en uitvoeren van behandelingen voor afwijkingen en onregelmatigheden in de stand van tanden en kaken.
In sommige landen, zoals het buitenland, kunnen orthodontisten een specialistenopleiding van drie jaar volgen na het afronden van hun tandartsenstudie.
Nadat de orthodontist is ingeschreven in het Specialisten Register, verschuift zijn focus volledig naar orthodontie. Dit betekent dat hij niet langer algemene tandheelkundige behandelingen uitvoert, maar zich uitsluitend richt op orthodontische zorg.
Orthodontisten zijn gespecialiseerd in het corrigeren van tandheelkundige afwijkingen en het optimaliseren van de stand van tanden en kaken. Hoewel orthodontische behandelingen vaak worden geassocieerd met kinderen en tieners, kunnen mensen van alle leeftijden profiteren van orthodontische zorg.
Bij onze orthodontiepraktijk staat een open en gastvrije sfeer centraal. We begrijpen dat de gedachte aan een beugel voor sommige mensen raar kan zijn. Daarom streven we ernaar om een omgeving te creëren waarin patiënten zich op hun gemak voelen en waarin ze kunnen zien dat orthodontische behandelingen niet alleen normaal zijn, maar ook effectief en comfortabel kunnen zijn. Onze open structuur moedigt een gevoel van geruststelling en vertrouwen aan, waarbij patiënten elkaar kunnen zien en ervaren dat een bezoek aan de orthodontist een positieve stap is naar een stralende glimlach en een gezond gebit.
Bij onze praktijk verwelkomen we patiënten van alle leeftijden en staan we klaar om hen te begeleiden op hun reis naar een mooiere glimlach en verbeterde mondgezondheid.
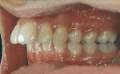
Ruimtegebrek

Ruimtegebrek voor de snijtanden. Voor de correctie moesten twee kleine kiezen worden verwijderd.

Spleet

Onregelmatige stand met een grote spleet tussen de bovensnijtanden waardoor de hoektanden niet goed in de rij kunnen doorbreken.

Overbeet

Grote overbeet door een terugliggende onderkaak.

Omgekeerde beet

Omgekeerde beet van een bovensnijtand met een verschuiving van het midden van de tandboog naar links.